从政外科医生柯文哲:生死智慧
从政外科医生柯文哲:生死智慧
2014-12-01 梁总编
柯文哲,外科医生,台湾大学医学院附属医院"创伤医学部"主任,台湾大学医学院教授,专长为外伤、急救、器官移植等。柯文哲在台湾11月29日举办有史以来规模最大的直辖市长/地方县市长选举,当选台北市长。
柯文哲医师在2013年Ted Taipei的演讲《生死的智慧》,这段短短18分钟的演讲,异常精彩,发人深思。
生死的智慧
演讲人:柯文哲
时间地点:2013年9月28日 / 台北
[全文]
1.
我大概是见过死人最多的台湾医生,很合适来谈生死的问题。
2.
让我从叶克膜开始讲起。
有一个笑话,谁是台湾最有名的医生。一个民众跑到柳营奇美医院,说要找叶医师。急症处的人说,没有啊,我们这里没有姓叶的。民众说,有的,他叫叶克膜,当年邵晓玲就是被他救起来的。
叶克膜其实很简单,就是静脉血引流出来,经过一个血液泵(人工心脏),再经过一个氧合器(人工肺脏),送回身体。它用来暂时取代心肺功能。
3.
真正的叶克膜大概就是这个样子,一个主机当人工心脏,旁边是一个氧合器,把血液送回去。
4.
叶克膜的确有非常成功的案例。这是一个周杰伦的舞群,有一天突发猛暴性心肌炎,心脏不跳了。
5.
当时,她的眼睛大大地看着荧幕,荧幕上的信号全是平的。
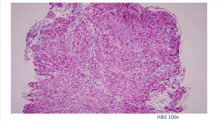
6.
这是她的心肌病理切片,放大了100倍。
7.
100倍还不是看得很清楚,放大400倍就很明显了,一个个蓝点就是淋巴球。这是很厉害的猛暴性心肌炎,整个心脏都被淋巴球浸润了。
8.
可是,九天之后,她就进行了心脏和肾脏移植。不到一个月,又回去跳舞了。
医学文献上,CPR(心肺复苏术)时间最长、还能被救回来的,就是这个案例。她从国泰医院一路CPR到台大医院,要装叶克膜的时候,发现强心剂已经打了100支了,股动脉和股静脉已经缩得比铅笔还细了,管子放不进去,只好继续用CPR,到开刀房直接锯胸,从上面放叶克膜。
这个案例听起来很神奇,我每次都说这是现代医学的奇迹。一个人经历了4个小时的CPR,九天没有心脏功能,还能救回来。
9.
这是另外一个案例,报纸写"全球首例,台湾奇迹,男无心脏活16天"。
10.
这是一个56岁的男子,因为蛀牙,细菌跑到血液里面,再跑到心脏,后来就化脓。在其他医院,打开心脏一看,发现有的地方烂掉了,就给他剪一剪,最后整个心脏都被剪掉了。
怎么办?只好转到台大医院。
11.
到台大医院的时候,因为几乎没有心脏功能,就用了两台叶克膜。图片上有两台主机。
12.
刚才那个案例是有心脏不会跳,这个更厉害,连心脏都没有了,剪掉了,心电图干脆就一条线了。
13.
这是他的电脑断层扫描,理论上,胸腔里应该有一颗心脏,可是现在没有心脏,只看到一些管子。
14.
十六天以后,我们给这个病人做心脏移植。
这是心脏外科教授王水深给我看的。他说,锯胸以后,没有看到心脏,只看到一些塑胶管子,接到外面的叶克膜上。
15.
这个病人做了心脏移植,最后还是很清醒地回家了。这是新加坡《海峡日报》的报道《Sixteen Days Without A Heart》。
16.
还有一个案例。一个26岁的原住民,酒醉以后去游泳,被水呛到,得了严重的肺炎,叶克膜用了117天。
17.
可以看到,他得了很严重的肺炎(又称急性呼吸窘迫征),整个肺都白掉了。
18.
他用了117天叶克膜。这个图可以看得很清楚,差不多长达一个月,他的肺通气量不到100cc。不过,最后还是慢慢恢复了。
上面这些案例,使用叶克膜以后,可以撑到9天、16天、甚至100多天,然后再进行心脏移植、心肺移植,或者自己好起来。这实在是太神奇了。所以,在媒体的炒作下,叶克膜在台湾变得这么有名,确实有一些很成功的案例。
19.
可是,媒体通常只报道成功的案例,不报道失败的案例。作为一个医生,看到成功的案例当然很高兴,但是也不能不看到失败的案例。
这是一个出生一个半月、先天性心脏病的婴儿,心脏手术以后,没有办法脱离心肺机,所以就装了叶克膜。
20.
可是不到三天,他的脚就黑掉了。这时候,医生就面临一个选择。你是要把他的双脚剁掉,继续再救,还是算了,不再努力了?这是很大的压力。
21.
如果上面的案例,你都很困难做决定。那么这一个案例,就更难了。
这是一个七岁的男孩,得了肺炎双球菌败血症,引起呼吸窘迫,后来装了叶克膜。
22.
装了以后,出现并发症,四肢都黑掉了。他眼镜大大地看着你,意识清楚,会讨水喝。可是作为一个医生,你面临选择。如果要救他,就要把四肢剁掉,如果不救,就要把机器关掉。
你想想看,在生死之间,病人头脑清楚,我怎么跟他讲:"小弟弟,如果你要活下去,我们要剁掉你的四肢。或者算了,你不要再活了。"你如何跟一个7岁的男孩,讲这种生死的问题?
23.
这就是我当一个重症医学专家的心路历程。
三十几岁,我就当上了主任,觉得医学很厉害,什么都可以解决。可是到了40岁以后,常常有装了叶克膜还是失败的案例,家属问我:"为什么别人救得回来,我们的亲人救不回来?"我也不晓得怎么回答。为什么病人的四肢会黑掉?我要是知道,就可以避免了,就是不知道啊。
24.
慢慢地到了50岁以后,我终于想通一个道理。医生是人不是神,我们只能尽力,仅此而已。
不管医学如何发达,还是有其极限。以现在的科技,没有心、肺、肾,还可以存活,但是难道就这样装着机器过一辈子吗?
大自然有春夏秋冬,园丁能不能改变这种规律?当然没有办法,园丁只能让花在春夏秋冬里面开得好看一点。一个医生有办法改变生老病死吗?很困难。医生只是让人在生老病死之间活得好看一点,仅此而已。
25.
医师只是生命花园的园丁,他到底如何面对草木的枯荣,面对死亡呢?
从 科学上讲,一切物理化学反应,都应该趋向最低能量、最大乱度,也就是越来越混乱。人的存在是违反这种趋向的。这是一个很重要的概念,任何有组织的团体都是 不稳定的,必须破坏环境,才能使得总的趋向是最低能量、最大乱度。有一天,我再不能破坏环境,就只好破坏我自己,这就叫死亡。
26.
有一天,我在巡房的时候,突然大彻大悟。人生的结局只有两种:插管和不插管,但都是死。
你问我,什么是死亡?我的回答是,怎样才算活着?你问我,什么是人生,我的回答是,追求这个问题的答案就是这个问题的答案。
因为人一定会死,所以死亡不是人生的目的,人生就是一个过程,我们在这个过程中不断去追寻一个问题,这就是人生。
27.
最近,我常常讲"一坨大便"的启示。
有 一次,我的老师退休了,我就请老师和学长吃饭。我们三个人到喜来登饭店二楼的法国餐厅,结果吃了26000元,平均每人9000元!我看到帐单的时候,脸 都绿了,怎么这么贵!我没有去过这种地方,都是乱点的,也不晓得点了什么菜要26000元。第二天早上,我上厕所,一直在看我的大便,这个花了我9000 元才制造出来的东西,看来看去,跟我平时去台大医院地下室吃70元一顿的自助餐,看不出差别。我在厕所里面,突然悟到,人生的荣华富贵不过就是一坨大便。高质量生活知识 公众号:gzlshzs
28.
中国人最重要的思想是儒家学说,可是《论语》说"未知生,焉知死"、"未能事人、焉能事鬼"、"生,事之以礼;死,葬之以礼,祭之以礼",总之就是不想谈论死亡。如果你一直追问,它就说"舍生取义"、"朝闻道夕可死矣"。儒家对生死问题采取一种逃避的态度,就是不想讨论。
这种做法积极的一面,当然是让人们重视活着的时候,可是终究没有回答死亡。
29.
我的个人看法是"置于死地而后生",我们唯有面对死亡,才能看清人生到底是什么。人终究会死,人生只是一个追求人生意义的过程。
人生应该像a的n次方。如果a大于1,a的n次方就无限大;如果a小于1,a的n次方很快就趋近于零。你知道这是什么意思?我对社会的付出多于索取,就代表a大于1,每个人都如此,社会就会越来越好,如果每个人对社会都是索取大于付出,就代表a小于1,社会很快就会崩溃。
我用下面这句话,作为今天的结束语:"最困难的不是面对各种挫折打击,而是面对各种挫折打击,却不失去对人世的热情。"
评论列表 共有 0 条评论
最新导读

热门文章




发表评论 取消回复