鱼刺卡住你做对了吗?
鱼刺卡住你做对了吗?
【鱼刺卡了怎么办?】
千万别吞其它任何东西了,不喝水不吞咽,能自己拔出来就拔,不然就去医院!
应让旁人用手电照着查看,如果能看到鱼刺卡的不深,拿镊子夹出。如无法夹出或疼痛剧烈,应及时去医院就医。喝醋、吞咽馒头、橙皮等都不对!如果强行吞咽,严重情况还会划伤食道,造成感染。
【案例一】:
丧命!
【女子用饭团吞下鱼刺致食道化脓丧命】武汉的周女士吃鱼喉咙卡了根鱼刺,便和别人一样吞了两口饭团。两天后她开始胸口疼痛、发烧,甚至休克。送到医院检查做胃镜发现她的食道里有一个鱼刺状异物,长约2厘米,刺的周围血肉模糊。由于出血严重,医生全力抢救仍没能挽回她的生命。
【案例二】:
急救救命。
一根2.2厘米的鱼刺,差点让62岁的张老太丧命。5月12日中午,张老太吃鱼时卡了鱼刺,本想通过强行吞饭菜自救,结果却导致鱼刺刺穿食道,离人体最大血管主动脉弓仅有3毫米,引发生命危险。所幸,新桥医院消化内科医生于劲运用熟练的胃镜技术,巧妙地将这根鱼刺取出,才得以转危为安。
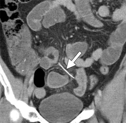
刺穿肠壁的鱼刺
【案例四】:鱼刺穿出脖子:
【医生们亲历后说】:
“20年前,我在医院里见到一个同样病例:一个女大款,因为一根鱼刺而来就医,医生劝她镜下取出,她懒得做,回家了。结果一周后形成溃疡,穿透主动脉,大出血而亡。有钱,没知识,还是有钱花不成。”
“取鱼刺也是很危险的呀〜上次有一个患者去了三家医院、医生的建议都是转上海并且制动,因为鱼刺已经刺在主动脉弓上,患者不信,自行开车来我院,走进来的时候已经开始呕血,然后就没有然后了....抢救了一晚上.....30多岁.....”
“浙医二院心脏大血管外科徐嗣卫医师做医生30多年,碰到过五位被鱼刺刺破食管和主动脉的病人,前面四位都走了”
【鱼刺最可能卡的位置】:
别不信,卡鱼刺可能丧命!别错误对待!
【医院处置】:
启示:
一枚鱼刺竟然让人死伤,是钱不够吗?
实际上这正是我们处理各种健康问题一个缩影。每个人都会面对疼痛、发烧、腹泻、肥胖、血糖高了、血压高了、脂肪肝了等等太多的健康问题。
决定我们健康的并不是银行账户,而是自己的认识水平和选择。
鱼刺卡住我们会选择吞饭、喝醋,可我们没有意识到里面蕴含的可怕危险,其他各种健康状况何不类似?
评论列表 共有 0 条评论
最新导读

热门文章




发表评论 取消回复